Toader anunţă că va propune OUG prin care să poată fi revizuite condamnările în baza protocoalelor şi interceptărilor nelegale
Tudorel Toader: „Mulți dintre procurorii DNA trebuie trimiși înapoi la structurile de unde au fost aduși”
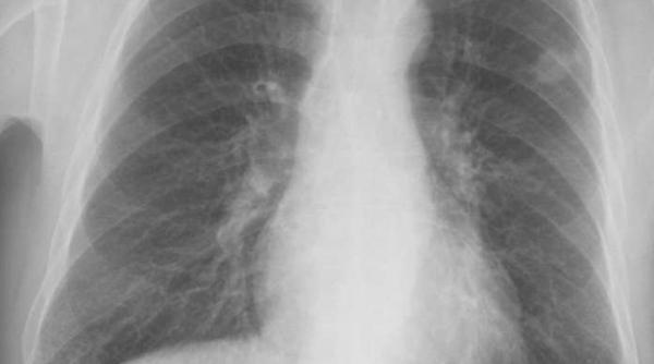
În fiecare oră, un român este diagnosticat cu o formă de cancer pulmonar. Ce trebuie să știi despre diagnosticul precoce și tratament
Sindicatul Naţional al Agenţilor de Poliţie va asigura la nevoie suport juridic poliţiştilor implicaţi în scandalul plăcuţelor de înmatriculare
Suspiciuni de fraudă de peste 150 de milioane de euro: DNA, percheziții de amploare pentru achiziția microbuzelor școlare electrice
Rusia dansează cazacioc pe ritm de csárdás. Cât de tare se aude muzica de la Kremlin? – partea a II - aCiprian Demeter
Planul Valev, exproprierea din ’21 și România între două falimente: al pământului și al strategieiIonuț Bălan