x close
Click Accept pentru a primi notificări cu cele mai importante știri!
Nu, multumesc
Accept
Jurnalul
Ştiri
Editoriale
Special
Bani şi afaceri
Externe
Cultură
România Inteligentă
Sport
Viaţa Sănătoasă
Timp Liber
Mai multe
cauta
WEBCAM LIVE ROMÂNIA
Ştiri
Politică
Justiţie
Social
Locale
Educaţie
Vremea
Editoriale
Special
Interviuri
Reportaje
Anchete
Bani şi afaceri
Ghidul pensiilor Private
Economia
Piata muncii
Constructii&Proprietati
Investitii
Externe
Cultură
Muzica
Film
Teatru
Carte
Arte Vizuale
România Inteligentă
Sport
Fotbal intern
Fotbal international
Sporturi
eXtrasport
Viaţa Sănătoasă
Sanatatea copilului
Medicul de familie
Terapii complementare
Trup, minte, suflet
Frumos si sanatos
Sanatatea familiei
Starea de sanatate
Timp Liber
Calatorii
Casa
Horoscop
Culinar
Media
Jurnalul TV
Fashion
Monden
Ştiri de ultima oră
ABONEAZA-TE ACUM
Publicitate
Inserturi
Publică anunţul tău
Concurs
Contact
Mica Publicitate
Ştiri despre Seanie Nammock
Eşti pe pagina 1 din 1 a ultimelor ştiri despre Seanie Nammock publicate pe Jurnalul.
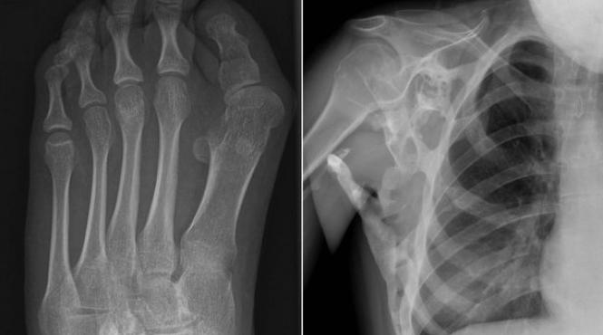
Boală NEMILOASĂ! În ce se transformă, treptat, o adolescentă (VIDEO)
Ultima oră
» Vezi toate știrile
De Sfântul Nicolae, citește aceste 10 gânduri care vindecă sufletul
Austria va continua pregătirile pentru organizarea Eurovision, în pofida boicotului unor țări
Fost agent antidrog, acuzat că a acceptat să spele milioane de dolari pentru un cartel de droguri
Darul suprem: înțelepciune și bunătate de la Moș Nicolae, pentru o Românie mai bună
Derby în Superligă. FCSB-Dinamo, sâmbătă, de la ora 20.30. Măsurile anunțate de Jandarmerie
Editoriale
Darul suprem: înțelepciune și bunătate de la Moș Nicolae, pentru o Românie mai bună
Ciprian Demeter
București - ghidul străzilor cu origine sănătoasă
Ionuț Bălan
Societatea supra-tipărită
Ionuț Bălan
Cobain, Celibidache, Gainsbourg, Eco și Bowie: irepetabilitate în era uniformizării
Ionuț Bălan