x close
Click Accept pentru a primi notificări cu cele mai importante știri!
Nu, multumesc
Accept
Jurnalul
Ştiri
Editoriale
Special
Bani şi afaceri
Externe
Cultură
România Inteligentă
Sport
Viaţa Sănătoasă
Timp Liber
Mai multe
cauta
WEBCAM LIVE ROMÂNIA
Ştiri
Politică
Justiţie
Social
Locale
Educaţie
Vremea
Editoriale
Special
Interviuri
Reportaje
Anchete
Bani şi afaceri
Ghidul pensiilor Private
Economia
Piata muncii
Constructii&Proprietati
Investitii
Externe
Cultură
Muzica
Film
Teatru
Carte
Arte Vizuale
România Inteligentă
Sport
Fotbal intern
Fotbal international
Sporturi
eXtrasport
Viaţa Sănătoasă
Sanatatea copilului
Medicul de familie
Terapii complementare
Trup, minte, suflet
Frumos si sanatos
Sanatatea familiei
Starea de sanatate
Timp Liber
Calatorii
Casa
Horoscop
Culinar
Media
Jurnalul TV
Fashion
Monden
Ştiri de ultima oră
ABONEAZA-TE ACUM
Publicitate
Inserturi
Publică anunţul tău
Concurs
Contact
Mica Publicitate
Ştiri despre Laurentiu Popescu
Eşti pe pagina 1 din 1 a ultimelor ştiri despre laurentiu popescu publicate pe Jurnalul.
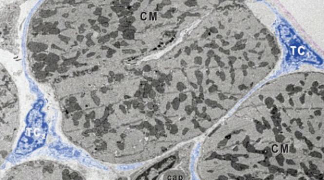
Cercetătorii români au făcut primele transplanturi de telocitele la animale
Ultima oră
» Vezi toate știrile
Companiile aeriene anulează peste 1.000 de zboruri din cauza furtunii de zăpadă din SUA
Atacuri cu cuțitul în metroul din Paris: trei femei au fost rănite
3 zodii scapă de blocaje după 27 decembrie
A murit chitaristul trupei The Cure, de Crăciun. Perry Bamonte avea 65 de ani
Destinația preferată a persoanelor peste 55 de ani și a pensionarilor. Nu e Grecia sau Italia
Editoriale
A History of Banks nu e o carte despre bani, ci despre responsabilitate amânată
Ionuț Bălan
Oare cetățeanului rus Depardiev i se pune sechestru pe active?
Ionuț Bălan
O concluzie incomodă
Daniel Apostol
Salariul minim și generația blocată: cum fabricăm șomaj în rândul tinerilor
Ionuț Bălan