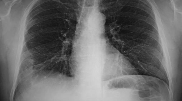
La fiecare 50 de minute, un român este diagnosticat cu cea mai mortală boală infecțioasă din lume: TBC
Descoperire cutremurătoare în București: Sicriul de zinc al unei tinere de 19 ani, victimă a tuberculozei, găsit în curtea Bisericii Izvorul Tămăduirii „Mavrogheni”
„Catastrofa globală” veche de 140 de ani. Tuberculoza: Un nou test rapid ar putea detecta milioane de transmițători silențioși
Guvernul va plăti o indemnizație de hrană de 16 lei pe zi bolnavilor de tuberculoză tratați în ambulatoriu
Vaccinul BCG oferă protecție împotriva infecției cu coronavirus. Rata mortalității este de 6 ori mai mică
Proiect pilot al Ministerului Sănătăţii: Pacienții infectați cu tuberculoză vor putea fi tratați și în sistem ambulatoriu
Deputaţii au decis ca persoanele diagnosticate cu tuberculoză să beneficieze de concediu şi indemnizaţie până la vindecare
Mai multe drone au ajuns în nord-vestul Turciei. Ministerul Apărării de la Ankara a cerut Ucrainei și Rusiei „să dea dovadă de mai multă prudență”.
Pe câmpul de luptă al justiției: „soldatul Kovesi” și victoria sistemului asupra legiiCiprian Demeter
Nu toată lumea culturală e de stânga: de la Steve McQueen și Ronald Reagan la Vestul „sălbatic”Ionuț Bălan